Pituitary Tumors
What Are They?
The pituitary gland is connected to the brain by a small strand of tissue and regulates a variety of hormones. There are a few different types of lesions that come from the pituitary, including benign cysts called Rathke’s Cleft cysts, tumors that cause hormonal overproduction, and non-secreting tumors that sometimes cause symptoms.
What Are The Symptoms?
Pituitary tumors can cause a variety of symptoms, depending on whether they affect hormone production or press on nearby structures. Hormone imbalances may lead to unexplained weight changes, fatigue, menstrual irregularities, reduced libido, or growth changes. Larger tumors can press on the optic nerves, causing vision problems such as double or narrowed vision.
What Are The Treatment Options?
Treatment for pituitary tumors depends on their size, type, and impact on hormone levels or surrounding structures. Small, asymptomatic tumors may be monitored with regular imaging and blood tests. Symptomatic or larger tumors often require surgery, typically through a minimally invasive transsphenoidal approach. A specific type of tumor called a prolactinoma is most commonly treated with medicine, even if it is large. Other medications can help control hormone overproduction, while radiation therapy may be used when surgery is incomplete or tumors recur. Treatment plans are tailored to each patient’s condition. When needed, surgery is performed using endoscopic surgery through the nose (endoscopic endonasal transsphenoidal surgery).
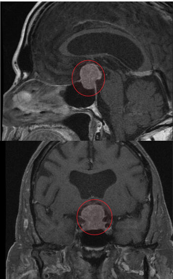
MRI of pituitary macroadenoma circled in red
MRI of a Rathke’s cleft cyst that is behind the pituitary, outlined in red on the right
