Cervical Radiculopathy
What Is It?
Cervical radiculopathy occurs when a nerve is compressed as it exits the spinal cord, often due to herniated discs, bone spurs, or age-related spinal changes.
What Are The Symptoms?
Cervical radiculopathy symptoms can vary depending on the affected nerve. Common signs include sharp or burning pain that radiates into the shoulder, arm, or hand, along with numbness and tingling. Muscle weakness sometimes occurs.
What Are The Treatment Options?
Treatment for cervical radiculopathy depends on symptom severity and underlying causes. Many cases improve with conservative measures such as physical therapy, activity modification, anti-inflammatory medications, or corticosteroid injections to reduce nerve inflammation. If symptoms persist or worsen, surgery may be recommended. The specific surgical approach is determined by the location of the affected nerve. Surgery is done from the front or back of the neck. Surgery from the front remove the entire disk including the part causing compression and replaces the disk with a with an artificial disk (ACDR) or a spacer with screws to make the bones fuse together (ACDF). Surgery from the back remove a small portion of the bone (foraminotomy) in order to remove the fragment of disk pressing into the nerve (microdiscectomy). Dr. Hughes often performs surgery from the back using small tubes (minimally invasive surgery, MIS) to minimize muscle disruption and improve recovery time.
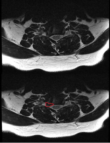
MRI with foraminal stenosis. The disk herniation is outlined in red. It does not cause any stenosis of the spinal cord, but it does cause compression of the nerve roots (yellow) as they exit the spinal canal.
MRI showing cervical disk herniation
pressing on a nerve root (outlined in red on
right picture)
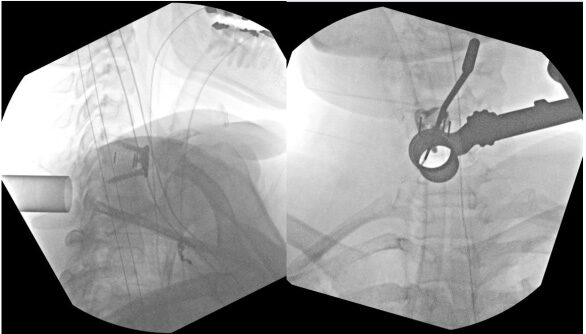
X-ray during surgery that shows the MIS tubular retractor used to access the back of the cervical spine to minimize incision size and tissue disruption.
