Cervical Myelopathy
What Is It?
Cervical myelopathy is a condition in which the spinal cord in the neck becomes compressed, often due to age-related changes such as herniated discs, bone spurs, or thickened ligaments. This compression can interfere with nerve signals between the brain and body, leading to symptoms, such as neck pain, weakness, numbness, or loss of coordination in the arms and hands. Early recognition is important, as untreated myelopathy can lead to permanent nerve damage.
What Are The Symptoms?
Symptoms of cervical myelopathy can vary in severity. Common signs include numbness, pain, or tingling in the hands, fingers, or arms, and weakness that may affect grip or fine motor skills. People may also experience difficulty with balance or walking, problems with bowel or bladder control, and a shocking sensation through the body when sneezing or coughing.
What Are The Treatment Options?
Treatment for cervical myelopathy depends on symptom severity, underlying cause, and patient specific factors. In asymptomatic patients, surgery or observation can be considered. In symptomatic cases, surgery is often recommended to relieve pressure and prevent further neurological damage. Surgical approaches vary and are tailored to the patient’s anatomy and the location of the compression. Surgery is either done from the front or back of the neck, and sometime both. Surgery from the front cleans out the disk and replaces it with an artificial disk (ACDR) or a spacer with screws to make the bones fuse together (ACDF). Surgery from the back removes (laminectomy) or expand the bone (laminoplasty) and sometimes uses screws and rods to fuse the bone (posterior cervical fusion).
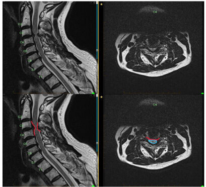
MRI of cervical disk herniation and compression. The compression is outlined in red on the bottom left image and the disk herniation causing compression is outlined in red on the right image with the spinal cord compression outlined in blue.
Posterior fusion and laminectomy with ACDF
Patient treated with anterior cervical disk replacement (ACDR)
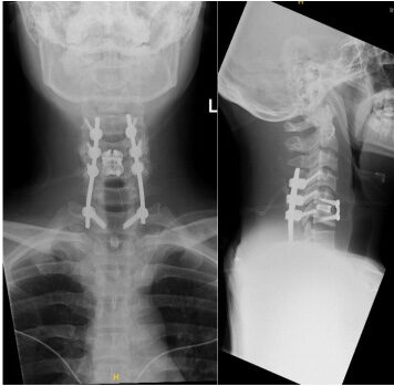
X-rays of a patient treated with anterior cervical diskectomy and fusion (ACDF)
Cervical laminoplasty
