Lumbar Stenosis
What Is It?
Lumbar stenosis is a condition in which the spinal canal in the lower back narrows, putting pressure on the spinal cord and nerves. This narrowing is often caused by age-related changes, including bone overgrowth, herniated discs, thickened ligaments, or arthritis.
What Are The Symptoms?
Symptoms of lumbar stenosis include lower back pain, numbness or tingling in the legs or feet, and rarely muscle weakness. People may experience difficulty walking, a heavy or tired feeling in the legs, or pain that worsens with standing or walking but improves when sitting or bending forward.
What Are The Treatment Options?
Treatment for lumbar stenosis depends on symptom severity. Mild cases often improve with physical therapy, activity modification, anti-inflammatory medications, and pain management techniques. Epidural steroid injections may help reduce inflammation and relieve nerve pain. When conservative measures are insufficient or neurological function is at risk, surgery may be recommended to relieve pressure on the spinal cord or nerves, often through procedures such as laminectomy or spinal fusion. Treatment is tailored to each patient’s condition and anatomy. Dr. Hughes often performs this using minimally invasive techniques, which allows for shorter hospitalization and faster recovery.
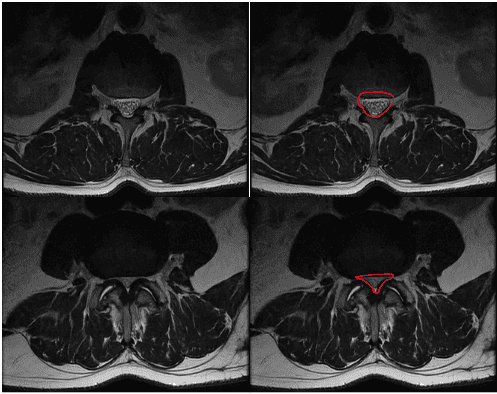
MRI of the lumbar spine. The top images show a normal diameter spinal canal without any narrowing, outlined in red on the right.
The bottom images show a spinal canal with narrowing around the nerve roots, outlined in red on the right. This is called lumbar stenosis.
