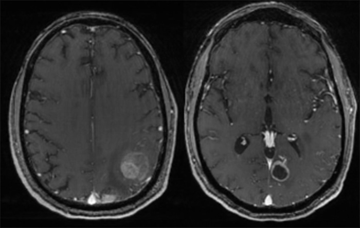
Brain Metastasis
What Are They?
Brain metastases are the most common type of brain tumor in adults. They occur when cancer cells spread from another part of the body to the brain. Unlike primary brain tumors, which originate in brain tissue, metastatic tumors begin elsewhere, commonly in the lungs, breasts, colon, kidneys, or skin (melanoma). These cancer cells travel through the bloodstream or lymphatic system, forming tumors in the brain.
What Are The Symptoms?
Symptoms of brain metastasis vary, depending on the tumor’s size, number, and location, but symptoms often include persistent headaches, nausea, vomiting, and seizures. Changes in vision or hearing, difficulty with balance or coordination, weakness or numbness in the arms or legs, and alterations in memory, thinking, or personality can also occur.
What Are The Treatment Options?
Treatment options for brain metastasis depend on the number, size, and location of tumors, as well as the patient’s overall health. Common approaches include surgery to remove accessible tumors and radiation therapy to target cancer cells. Surgery is always followed by radiation, but some smaller tumors may be treated with radiation alone. Treatment often aims to reduce tumor size, relieve pressure on the brain, and manage progression. Chemotherapy is often used in conjunction with surgery and radiation, but mainly has a role to treat disease in the body, not the brain.
