Lumbar Spondylolisthesis
What Is It?
Lumbar spondylolisthesis occurs when one vertebra in the lower spine slips forward over the one below it. This displacement can narrow the spinal canal or compress nerves, potentially causing pain or neurological symptoms. The condition often develops from age-related changes, degenerative disc disease, or stress fractures, though it can also be congenital.
What Are The Symptoms?
Symptoms of lumbar spondylolisthesis can vary from no symptoms to significant discomfort or mobility issues. Common signs include lower back pain with pain going into the buttocks or legs, accompanied by numbness and tingling. Symptoms can vary in intensity and may worsen with activity or prolonged standing.
What Are The Treatment Options?
Treatment for lumbar spondylolisthesis depends on severity, symptoms, and spinal stability. Mild cases may improve with physical therapy, activity modification, pain management, and anti-inflammatory medications. Strengthening exercises can support the spine and improve flexibility. If pain persists or neurological symptoms develop, surgical options can be considered, such as spinal fusion to stabilize the vertebrae. Treatment plans are individualized to address both symptom relief and spinal instability. Most often, Dr. Hughes performs surgery for this using minimally invasive surgery (MIS) with a transforaminal lumbar interbody fusion (MIS-TLIF). This results in a shorter hospital stay and faster recovery time.
X-rays L4/5 spondylolithesis (step-off of the spine). The blue-line drawn on the right x-ray shows how the L4/5 vertebral bodies are not aligned, while the rest of the spine is aligned.
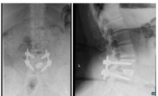
X-rays showing the same patient after a minimally invasive transforaminal lumbar interbody fusion (MIS-TLIF). The prior step-off of the spine is corrected.
MRI showing compression of the nerves at the L4/5 level in same patient as x-rays. Notice on the MRI the step-off in the spine is gone. When the patient stands, the nerve compression gets worse because the spine slips forward.
