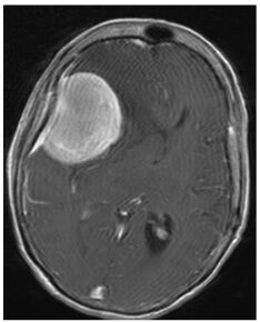
Meningioma
What Is It?
Meningiomas are tumors that grow from the brain’s protective covering, rather than from brain tissue itself.
They’re classified into three grades: Grade 1, Grade 2, and Grade 3.
- The most common meningiomas are Grade 1, which are often slow-growing.
- Grade 2 (atypical) tumors are more variable and sometimes grow quickly.
- Grade 3 (malignant or anaplastic) tumors are rare, highly aggressive, and invasive to surrounding anatomy.
What Are The Symptoms?
Meningiomas commonly develop slowly and may not cause any symptoms. Often, they are found incidentally when scans are done for other reasons. When they do cause symptoms, these vary depending on tumor location, from serious symptoms like seizures to subtle ones, such as loss of smell, vision, memory, or balance.
What Are The Treatment Options?
Treatment for meningiomas depends on factors like tumor size, location, growth rate, patient age, and overall health. Small tumors may be closely monitored using periodic brain scans. If the tumor causes symptoms or grows, surgery, radiosurgery, or a combination of the two is often recommended. Chemotherapy is rarely used, but may be considered if surgery and radiation fail.
MRI of large right frontotemporal
meningioma causing severe brain compression
