Lumbar Facet Syndrome
What Are They?
Joints in the lumbar spine are called lumbar facets. With aging, they can develop changes in the cartilage and bone that can cause inflammation and pain.
What Are The Symptoms?
Pain typically occurs in the low back and can be on one or both sides. Sometimes, the pain also radiates into the buttocks or groin. The nerves that cause this pain, called medial branches, are only sensory nerves and no weakness or other neurologic issues occur with this condition.
What Are The Treatment Options?
Treatment for low back pain starts with medication and physical therapy. For cases that do not respond to these treatments, the imaging is obtained to check for signs of facet arthritis. If these changes are present, then a nerve block of the medial branches can be performed. If pain improves with this block, other more lasting procedures can be considered such as radiofrequency ablation or endoscopic transection of the nerve.
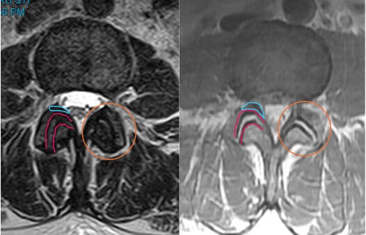
MRI of the spine without (left) and with (right) age-related changes in the joint (orange circle). The red outline is the space between the joints. Notice how on the left image, there is less white and less space between the two lines, while on the right, there is more white and more space. This is evidence of increased joint fluid and inflammation. The blue line on each image highlights the yellow ligament, which gets thicker with joint inflammation and stress. These changes are common as people age, but can cause pain in some patients.
