Lumbar Radiculopathy
What Is It?
Lumbar radiculopathy occurs when a nerve in the lower back becomes compressed or irritated, often due to herniated discs, bone spurs, or age-related spinal changes.
What Are The Symptoms?
Symptoms of lumbar radiculopathy vary, depending on which nerve is affected. Common signs include sharp, shooting, or burning pain that radiates from the lower back into the buttocks, legs, or feet. Numbness and tingling may occur, as well as muscle weakness, though this is less common than sensory symptoms. Though rare, a disk herniation can lead to emergent symptoms of leg weakness and bowel and bladder dysfunction.
What Are The Treatment Options?
Treatment for lumbar radiculopathy depends on symptom severity and underlying causes. Mild cases often improve with physical therapy, activity modification, anti-inflammatory medications, or corticosteroid injections to reduce inflammation and relieve pain. Strengthening and stretching exercises can support the spine and improve flexibility. When conservative measures are insufficient or neurological function is at risk, surgery may be considered to relieve nerve compression. Treatment plans are tailored to the patient’s specific condition. Dr. Hughes often performs surgery for this using minimally invasive surgery (MIS) to minimize tissue disruption and quicken recovery time.
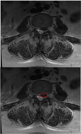
MRI showing a lumbar disk herniation, outlined in red on the bottom.
X-ray during surgery using MIS tubular retractor for microdiskectomy
