Glioma
What Is It?
Gliomas are tumors that arise from glial cells, which support and protect nerve cells in the brain and spinal cord. They may be benign or malignant, and their behavior depends on the subtype, which include astrocytomas, oligodendrogliomas, ependymomas, and glioblastomas. While some gliomas grow slowly, others—such as glioblastoma—are highly aggressive and invasive.
What Are The Symptoms?
Glioma symptoms vary, depending on tumor size, type, and location. Common symptoms include persistent headaches, nausea, vomiting, seizures, vision or speech changes, weakness or numbness in limbs, seizure, balance problems, memory loss, and personality or mood changes.
What Are The Treatment Options?
Treatment for gliomas typically begins with surgery to remove as much of the tumor as safely possible. If complete removal isn’t feasible, or if the pathology is malignant, radiation and chemotherapy are used. The choice of treatment depends on factors such as tumor type, location, and the patient’s overall health.
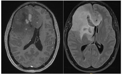
Image 1 (left): MRI of a grade IV glioma in the left occipital lobe
Image 2 (right): MRI showing Grade I pilocytic astrocytoma in the right frontal lobe
Different MRI sequences showing an extensive right frontal Grade 3 oligodendroglioma
